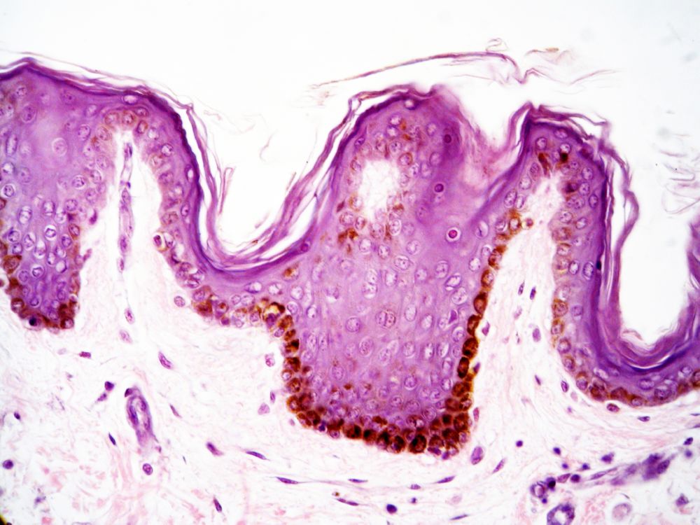
Stichworte: Haut, Histologie, Mikroskopie, Säugetierhistologie, Medizin, Bewie's Mikrowelt Haut Verhornendes Epithel der Haut in HE-Färbung. Braun stechen die Pigmentgranula hervor, die nicht aus der Färbung stammen, sondern die Haut natürlicherweise braun gefärbt haben.
Verhornendes Epithel der Haut in HE-Färbung. Braun stechen die Pigmentgranula hervor, die nicht aus der Färbung stammen, sondern die Haut natürlicherweise braun gefärbt haben.